


PWS是最常见的毛细血管畸形(Capillary malformation,CM),属于先天性皮肤毛细血管扩张畸形,最常累及头面部。对于累及面部沿三叉神经眼支(V1)和(或)上颌支(V2)分布的红斑,需排除合并斯特奇-韦伯综合征(Sturge-Weber syndrome,SWS)。该综合征是一种少见的散发性神经皮肤综合征,属常染色体显性遗传性疾病,表现为面部红斑和脑部软脑膜血管畸形,可伴有眼部畸形血管,和(或)骨/软组织过度生长,又称脑面血管瘤病。



具体来讲,SWS是以一侧三叉神经分布区(V1/V2)不规则红斑、对侧偏瘫、偏身萎缩、同侧颅内钙化、青光眼、癫痫、智能减退为特征的先天性肌病,多为散发病例,少数有家族聚集性,发病率约20/10万。目前认为其可能的发病机制为胚胎发育5-8周时原始血管异常所致,可能涉及血管结构和功能的调控异常、神经支配异常、细胞外基质和血管活性因子的表达异常。依据其临床表现及病变受累范围,将其分为三型,即I型:经典型,有面部红斑、颅内软脑膜血管病变,可伴有眼部病变如青光眼;II型:不全型,有面部红斑、青光眼,无颅内血管病变;III型:非经典型,有颅内软脑膜血管病变,多无青光眼,无面部红斑。临床上症状性(继发性)癫痫,可表现为间断抽搐,发作时双眼向下凝视,下肢持续抖动,不伴口唇发绀、意识丧失、大小便失禁等不适,通常持续几分钟后自行缓解,发作后精神状态好。脑部核磁共振显像(MRI)可表现为病变区脑沟增宽、加深,表面血管增粗迂曲,软脑膜明显增厚强化。

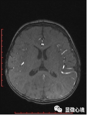
图1 SWS患儿MRI图像,左侧顶枕叶脑表面血管增粗迂曲

图2 SWS患儿MRI图像,T1增强显示左侧枕顶部软脑膜明显增厚强化



SWS形态学本质为一种毛细血管畸形,最常同时累及眼部和枕叶、眼脉络膜;面部、软脑膜、脉络膜的血管畸形形态相似。脑部病变主要位于蛛网膜下腔内,表现为软脑膜变厚,主要由薄壁毛细血管和后微静脉组成,部分血管可发生透明变性而闭塞,受累脑组织因局部的血管畸形、血液淤滞常有局部萎缩、钙化、胶质增生等表现,导致受累半球脑组织萎缩,部分侧脑室增大;钙化常发生于血管壁、血管周围组织或神经元内。受累脑组织继发性损伤的病理机制,多表现为缺血、缺氧、静脉闭塞、梗死或血管运动异常;因脑浅静脉的引流受到软脑膜血管畸形的影响,血流经侧支分流到深静脉,故病变还常伴有室管膜下静脉、脑室周围静脉和髓质静脉的扩张,甚至伴发静脉畸形等。



累及中枢神经系统的SWS在术中及大体病理检查可见脑组织表面迂曲怒张的血管及毛细血管网,镜下脑组织表面软脑膜增厚,脑实质与软脑膜之间可见广泛弥漫分布的不规则扩张毛细血管腔,畸形血管呈网状或蜂窝状排列,沟通现象不明显,或于脑实质表面呈串珠样排列;畸形血管壁薄似毛细血管,管腔大小不一,均不同程度扩张,管腔内可见淤血,被覆内皮细胞扁平,均未见血管内皮细胞增生;部分区域畸形管壁稍增厚;间质血管腔之间的纤维性间质疏松水肿,少量淋巴细胞浸润;受累脑实质内未见显著变化,浅表脑实质内可有间质钙化及胶质细胞增生。

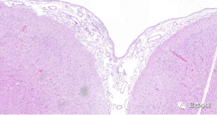
图3 SWS患者大体检查手术切除脑组织表面可见大量迂曲扩张的小血管及毛细血管,可见管腔稍粗呈紫红色的小血管,显著怒张迂曲(黄色箭头);大量隐约可见的红色毛细血管网(绿色星状)

图4 脑组织表面增厚,脑实质与软脑膜之间可见多量不规则扩张的毛细血管,间质疏松水肿

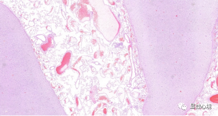
图5 大量海绵状扩张的畸形毛细血管腔,个别管壁稍增厚,管腔内充血,间质疏松水肿

END

葡萄酒色斑和Sturge-Weber综合征的临床病理及分子遗传学特征。中华病理学杂志,2021,50(7):802-804.
增厚型葡萄酒色斑24例临床病理学特征。中华病理学杂志,2019,48(11):878-883。
编辑:程莎莎
指导:刘秋雨
