发布信息

葡萄酒色斑(port-wine stain, PWS)(2)

作者:本站编辑      2023-06-20 09:18:08     63

01

免疫组化特点


   畸形管腔内皮细胞表达血管内皮相关标记,如CD31CD34ERG等,畸形管壁呈SMACollagenIV阳性,淋巴管相关标记如D2-40LYVE-1VEGFR-3呈阴性表达。




1免疫组化染色结果显示,畸形扩张血管内皮细胞呈CD34阳性表达,有助于清晰显示管腔分布范围及扩张程度  




2  免疫组化染色结果显示,畸形血管壁呈SMA阳性表达,有助于显示管壁厚度及管腔轮廓,其中内对照竖毛肌呈胞浆强阳性表达

02

组织化学染色特点


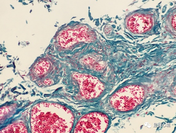
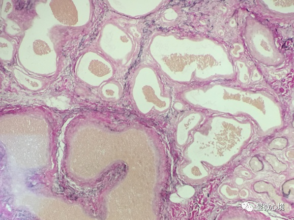
   畸形血管壁Masson染色呈绿色,个别管腔可夹杂少量红色,提示管壁内以纤维组织增生为主,含少量增生的肌纤维成分;弹力纤维染色显示畸形厚壁血管呈阴性,未见明确内弹力层,提示为增生的畸形静脉样管腔。




3  弹力纤维染色结果显示,簇状、蜂窝状畸形血管壁阴性,内对照少量皮下弹力纤维呈蓝色 




4  Masson三色染色结果显示,簇状、蜂窝状畸形血管壁呈蓝绿色,提示管壁内以纤维性成分为主  

03

鉴别诊断

  PWS作为以扩张性畸形血管为基础的疾病,需要与多种血管相关病变做鉴别,通常依据临床表现、外观特征、病史病程、年龄、发病部位、组织形态学(有无血管内皮细胞增生)、生长方式等可加以区分。对于婴幼儿(尤其是6月龄以内)、头面部红色斑块可考虑婴儿性血管瘤(临床习惯称该病为“婴幼儿血管瘤”)和早期PWS,但前者有瘤体明显增生现象,表现为逐渐隆起的鲜红色颗粒状斑块,外观似“草莓状”,而早期PWS在婴幼儿期呈平坦的红斑,病变随年龄增长成比例增大;自然病程上,前者瘤体多在数年后自行消退,后者则无自行消退现象;病理特征上,前者为新生毛细血管簇状或分叶状增生,小叶内或小叶间可见较大的营养性血管,属真性肿瘤,后者为畸形扩张的薄壁毛细血管,病变晚期可见簇状或蜂窝状畸形厚壁血管,但无血管内皮细胞增生(见表)。对于中老年人、头面部斑块,首先考虑为血管肉瘤,但需与晚期PWS相鉴别,前者常短期内快速生长,皮肤变薄,表面皮肤可溃烂,病变呈紫红色肿块样,可有卫星结节,后者呈紫红色斑块并结节状增厚,呈肿块样,亦可伴有皮肤溃疡,但病程较长,常出生时即存在并进行性增长;组织学上,前者肿瘤分化较好的可见不规则扩张血管腔隙呈浸润性生长,内皮细胞核大深染,向腔内突出,分化差的内皮细胞增生并具有异型性,核分裂象易见,并见片状梭形细胞或多边形细胞,后者不规则扩张血管呈错构样生长,管腔畸形,内皮细胞呈单层扁平状,无内皮细胞增生现象、细胞无异型性。对于中青年人所发生的血管畸形病变,需要区分畸形管腔的类型,最常见的为静脉畸形,可发生于浅表部位以及深部软组织,通常病变发展缓慢且处于静止状态,组织学多表现为不规则扩张的静脉腔穿插于脂肪、骨骼肌组织之间,常伴有血栓形成、机化。此外,PWS在临床上可单独发病,也可作为综合征与其他病变同时存在,诊断需与相应Sturge-Weber综合征及Klippel-Trénaunay综合征等相鉴别,Sturge-Weber综合征是一种皮肤神经综合征,特指PWS发生在三叉神经眼支支配区,并侵及软脑膜或蛛网膜,同时合并存在青光眼表现;Klippel-Trénaunay综合征是以皮肤大片红斑、静脉曲张及骨和软组织增生肥大三联症为主要表现,且皮肤大片红斑的病理基础常为PWS

1  婴儿性血管瘤与葡萄酒色斑的临床及病理学特征对比

参考文献:
1. 葡萄酒色斑和Sturge-Weber综合征的临床病理及分子遗传学特征。中华病理学杂志,2021507):802-804.
2. 增厚型葡萄酒色斑24例临床病理学特征。中华病理学杂志,20194811):878-883
编辑:李梅
指导:刘秋雨

 

相关内容 查看全部