发布信息
登陆/注册
搜索
搜索
导航
首页
产品供应
产品求购
企业库
酒业展会
行业资讯
认证会员
站内搜索
展会信息
当前位置:
首页
展会信息
正文
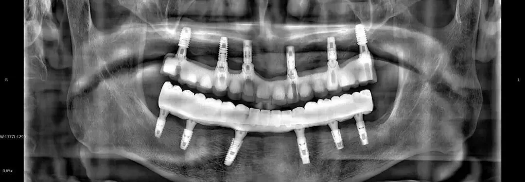
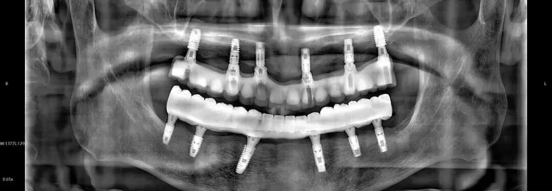
展会邀请 | 瑞德医疗携精准种植“新物种”,与您相约华南展
作者:本站编辑
2026-02-25 09:26:28
6
展会邀请 | 瑞德医疗携精准种植“新物种”,与您相约华南展
· 往期推荐 ·
皓月2.0至臻全景影像,赋能口腔精准诊疗
400kHz逆变频率,CBCT业的“降维打击”正在发生
儿童使用更安心!皓月2.0超低剂量CBCT了解一下
扫
码注册瑞德
会员
注册即送积分丨兑换定制好礼丨畅享专属折扣
扫码关注了解更多
微信订阅号
微信服务号
视频号
抖音号
小红书
微博
Facebook
WhatsApp
Instagm
下一篇:
展会预告 | 英利发展邀您共赴意大利国际可再生能源展
上一篇:
【迪拜展会专访】芥子生物:以硬实力出圈,让中国IVD技术走向全球
相关内容
查看全部
广交会倒计时3天|
2026-04-12 13:08
从“卖货”到“出
2026-04-12 13:06
3.2万家企业集结!
2026-04-12 13:05
139届广交会乘车
2026-04-12 13:04
第139届广交会全
2026-04-12 13:02
梓优会展圆满助力
2026-04-12 12:57
第35届中国国际玻
2026-04-12 12:55
第93届中国国际医
2026-04-12 12:49
CMEF中国国际医疗
2026-04-12 12:48
西安丝绸之路国际
2026-04-12 12:47