主治医生柏德口腔薛院长表示 针对门牙脱落、前牙、大牙缺失,想马上修复的缺牙朋友,“即刻种·即刻用”种植技术非常适合:当天种牙当天戴牙吃饭,即刻恢复牙齿美观,瞬间恢复颜值,享受美食。

风和日丽的春天
除了郊游踏青赏花
更重要的就是
逛各种展会!!!

人间四月天的大广州
珠宝展、家居展、服装展……应接不暇
当然最让人抵挡不住的就是美食展

既饱眼福,又饱口福,偶尔还来点艳遇
如此大好时光,你要是宅在家葛优躺

活该单身!(神也拯救不了你)
其实,宝宝也想出去浪,
可是缺了颗牙,颜值堪忧

怕出去折煞风景,
看到美食也只能独咽口水

别急!下面有个好消息,你一定感兴趣,
关乎你的牙齿,也关乎你的颜值!
▽▽▽
为了提高人们的口腔保健意识,关心人们的牙齿缺损问题,不出羊城,切身感受国际前沿口腔种植技术,让种植牙进入千家万户,一年一度的国际口腔展在中国进出口商品交易中心琶洲会馆隆重举行。此次展会汇聚了来自20多个国家和地区的900多家世界高端牙科品牌,规模达54000㎡。



(低至3折)
3颗12800(原价35700)
4颗17800(原价47600)
5颗22800(原价59500)
半口32200(原价65800)
德国种植牙单颗立减5000元
进口种植牙种1送1(含基台、牙冠)
口腔CT片、方案设计费全免


点击文章最底部阅读原文即可咨询活动详情,享种牙专属福利,还可额外抽取惊喜大礼一份!

经朋友介绍,柏德口腔的即刻种植技术可当天修复牙齿,当天就能用,便来到柏德口腔了解。经过全方位的口腔CT检查,专家给王先生定制了即刻种植方案,种牙、戴牙、用牙一次搞定,即刻恢复牙齿美观和咀嚼功能。

点击文章底部阅读原文即可咨询,现在预约享德国种植牙单颗立减5000元、进口种植牙种1送1专属优惠。

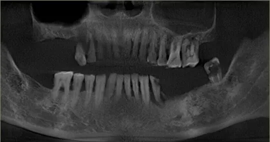
▲粤剧大师卢海潮口腔CT片 缺牙4颗
在好友“阿光”苏志丹和“康婶”黄锦裳的力荐下,卢老来到柏德口腔做种植牙,针对卢老年纪大怕疼痛,德国牙医博士为卢老制定了数字化微创种植方案。

柏德口腔数字化微创种植,运用种植导板精准“导航”,有效避开神经和血管,安全无痛,伤口小于0.5cm,缩短手术时间50%,非常适合年纪大怕疼痛的缺牙朋友。
点击文章底部阅读原文即可咨询,现在预约享多颗种植一口价,低至3折!
▽▽▽
看看风景、尝尝美食、拍拍照
才是这个季节正确的打开方式
原本简单美好的愿望却因缺牙而打破
自从缺了牙,笑容少了,
胃口没了、身体也差了……
你是否正在为缺牙而烦恼?
而又担心种牙安全、害怕疼痛迟迟不敢修复
柏德口腔,专注德国种植牙
掌握7大核心种植技术
拥有数十位中德种植名医
平均从业经验15年以上

同时,柏德口腔专业的德国技术
高品质的种牙服务
成为广州本土明星种牙首选机构
《外来媳妇本地郎》剧组
组团来种牙,纷纷点赞

▲“阿光”苏志丹、“康婶”黄锦裳、
粤剧大师卢海潮、
艺术团团长陈坚雄纷纷选择柏德种牙
更有市民重获好牙,
为表感谢,亲笔写信、送锦旗……

▲广州市民林伯6颗种植体恢复半口牙

▲广州市民徐姨一次种植7颗牙
确认过眼神!
不管是专家、技术、还是资质、口碑
柏德口腔在广州乃至华南地区都是超有实力
非常靠谱、正规!
如果你还不放心
柏德口腔真人案例分享会
邀你免费参与
零距离观摩种牙全过程
种植名医团一对一现场亲诊
同时带来多重种牙福利
现在预约,还可抽取惊喜大礼一份
(低至3折)
3颗12800(原价35700)
4颗17800(原价47600)
5颗22800(原价59500)
半口32200(原价65800)
德国种植牙单颗立减5000元
进口种植牙种1送1(含基台、牙冠)
口腔CT片、方案设计费全免
点击文章最底部阅读原文即可预约
享种牙专属福利

