







? 进博会重磅信号:传统垄断正在被打破!
11月6日,在进博会现场,医疗影像设备三巨头“GPS”之一的GE医疗,正式宣布引入阿里达摩院首创的“一扫多查”医疗AI技术。
作为行业的观察者,我从中嗅到了一个强烈的信号:AI时代,医疗行业正面临彻底的洗牌。
GE作为爱迪生创立的公司,掌握着全球医疗影像设备的最高技术壁垒。为什么这样的百年巨头,会选择拥抱中国的AI技术?
? 为什么GE积极拥抱阿里AI?
在过去,设备厂商比拼的是扫描速度、是影像质量。但正如柯达倒闭的那一天,做的胶卷还是全世界最好的——革命性技术的出现,往往会导致行业重新洗牌。
AI比人眼更强:CT机在不断卷更高清的影像,AI却能在模糊图像里就找出微小病灶。
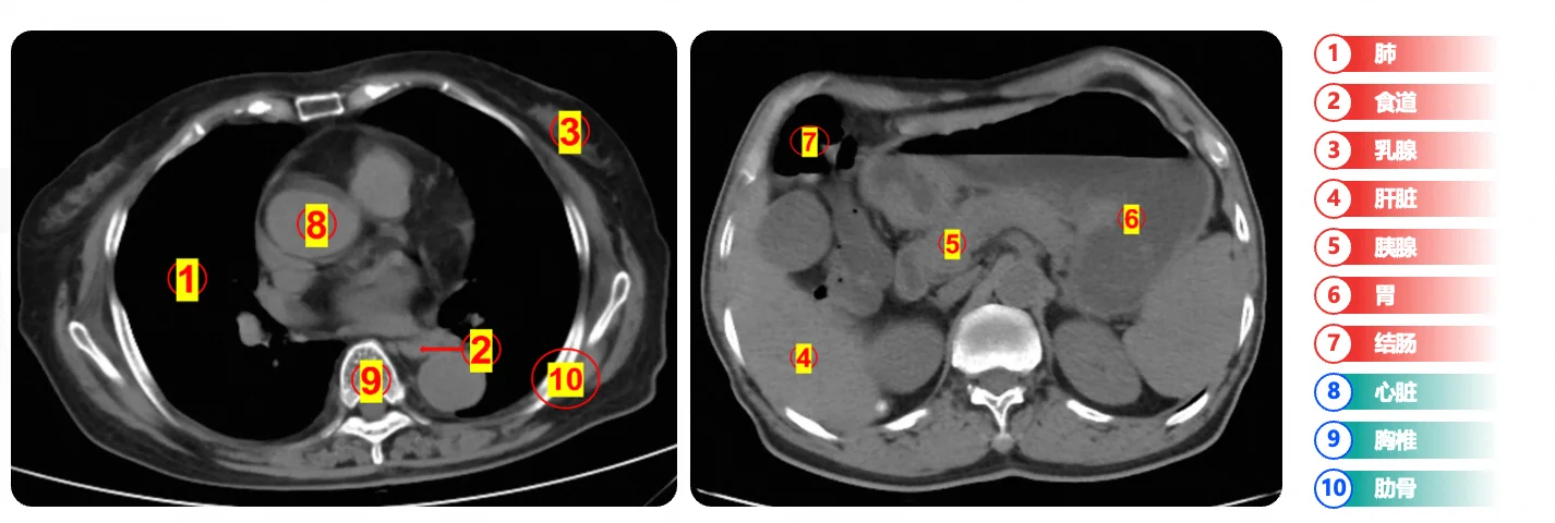
效率和价值的革新:阿里达摩院的“平扫CT+AI”技术,能在一次平扫CT中,快速识别胰腺癌、胃癌等多种癌症和急重症。
技术的硬实力:达摩院这项AI技术,不仅在国际顶刊《自然·医学》上多次发表,更是获得了美国FDA“突破性医疗器械”认定。
? 行业人士请注意!
这次合作意味着,只卷多少排数已经不够了。未来的医疗设备竞争,将是AI算法与设备硬件的深度融合。
对于我们行业人士来说:
对于医生:AI是提升诊断准确率、赢得黄金救治窗口的“武器”。
对于厂商/工程师:不懂AI,真的会成为“下一个柯达”。
连百年GE都在焦虑引进AI技术,我们还有什么理由不拥抱变革?
中国AI的崛起,正在加速整个医疗产业的迭代!
#医疗黑科技 #癌症早筛 #阿里达摩院 #GE医疗 #医疗 #行业观察 #国产替代 #智能化转型 #创新医疗器械 #进博会
11月6日,在进博会现场,医疗影像设备三巨头“GPS”之一的GE医疗,正式宣布引入阿里达摩院首创的“一扫多查”医疗AI技术。
作为行业的观察者,我从中嗅到了一个强烈的信号:AI时代,医疗行业正面临彻底的洗牌。
GE作为爱迪生创立的公司,掌握着全球医疗影像设备的最高技术壁垒。为什么这样的百年巨头,会选择拥抱中国的AI技术?
? 为什么GE积极拥抱阿里AI?
在过去,设备厂商比拼的是扫描速度、是影像质量。但正如柯达倒闭的那一天,做的胶卷还是全世界最好的——革命性技术的出现,往往会导致行业重新洗牌。
AI比人眼更强:CT机在不断卷更高清的影像,AI却能在模糊图像里就找出微小病灶。
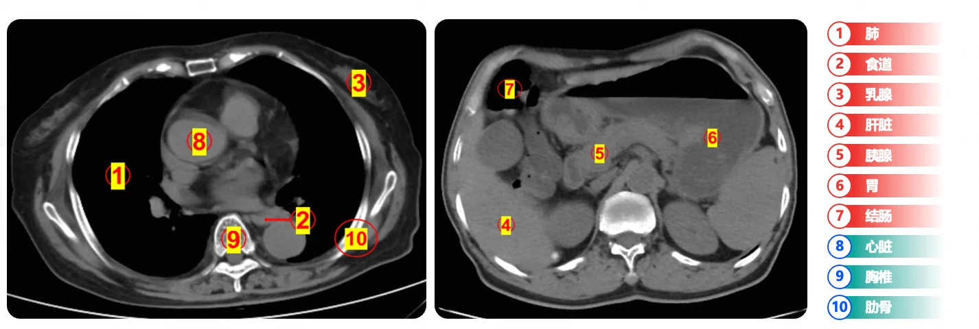
效率和价值的革新:阿里达摩院的“平扫CT+AI”技术,能在一次平扫CT中,快速识别胰腺癌、胃癌等多种癌症和急重症。
技术的硬实力:达摩院这项AI技术,不仅在国际顶刊《自然·医学》上多次发表,更是获得了美国FDA“突破性医疗器械”认定。
? 行业人士请注意!
这次合作意味着,只卷多少排数已经不够了。未来的医疗设备竞争,将是AI算法与设备硬件的深度融合。
对于我们行业人士来说:
对于医生:AI是提升诊断准确率、赢得黄金救治窗口的“武器”。
对于厂商/工程师:不懂AI,真的会成为“下一个柯达”。
连百年GE都在焦虑引进AI技术,我们还有什么理由不拥抱变革?
中国AI的崛起,正在加速整个医疗产业的迭代!
#医疗黑科技 #癌症早筛 #阿里达摩院 #GE医疗 #医疗 #行业观察 #国产替代 #智能化转型 #创新医疗器械 #进博会
